Британские врачи описали случай женщины, у которой случайно обнаружили врожденное отсутствие левой внутренней сонной артерии.

Находка стала возможна благодаря лучевым исследованиям, проводившимся по поводу лакунарного инсульта левого полушария мозга. При этом сам инсульт не был связан с врожденной аномалией. Подробности описаны в BMJ Case Reports.
Распространенность врожденного отсутствия внутренней сонной артерии составляет менее 0,01 процента. Такая аномалия происходит в результате нарушений развития во время эмбриогенеза, причем чаще страдает левая внутренняя сонная артерия. В большинстве случаев аномалия не вызывает никаких симптомов и обнаруживается случайно при нейровизуализации. По-видимому, кровоток в головном мозге поддерживается за счет надежных коллатеральных путей, в том числе, через Виллизиев круг. Однако в редких случаях, из-за отсутствия сосуда развивалось субарахноидальное кровоизлияние, аневризма или ишемический инсульт.
К Воэй Лин Лай (Woei Ling Lai) и Данушка Ратнаяке (Danushka Ratnayake) из Больницы Грейт-Вестерн обратилась ранее здоровая 50-летняя женщина с жалобами на внезапное опущение правой части лица и невнятную речь. Ранее в тот же день она упала с лошади в каске без потери сознания. Пациентка не курила, и у нее не было известных факторов сердечно-сосудистого риска.

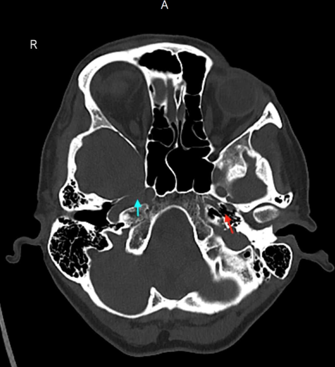
Компьютерная томография головы не выявила острой внутричерепной патологии, однако показала полное отсутствие левого шейного и пещеристого сегментов внутренней сонной артерии, а также гипоплазию (недоразвитие) левого сонного канала, что подтверждало врожденное происхождение аномалии. Коллатеральное кровообращение сохранялось за счет левой задней соединительной артерии и единственной передней мозговой артерии. Дуплексное ультразвуковое исследование сонных артерий подтвердило отсутствие левой внутренней сонной артерии.
Магнитно-резонансная томография головного мозга показала небольшой острый инфаркт в левой задней части внутренней капсулы, что соответствовало лакунарному инсульту. При этом врачи не установили причинно-следственной связи между отсутствием сосуда и инсультом. При отсутствии факторов риска или альтернативной этиологии идиопатический инфаркт мелких сосудов головного мозга может быть научно обоснованной причиной лакунарного инсульта.
Пациентке не потребовалось хирургическое вмешательство, и ее выписали на следующий день. Ей назначили аспирин в высоких дозах на две недели с последующим переходом на профилактические дозы клопидогрела. Также для контроля уровня липидов и вторичной профилактики она начала принимать высокие дозы статинов. Через девять месяцев наблюдения у нее произошло полное неврологическое восстановление без каких-либо рецидивов.
Иногда инсульт, особенно у молодых людей, случается в необычных обстоятельствах. Например, мы рассказывали, что у 37-летней женщины с нелеченной гипертонией инсульт случился после посещения аттракциона, на котором участники на большой скорости вращаются по кругу.
Автор: Слава Гоменюк