В психиатрическую больницу Нидерландов обратилась женщина, которая видела драконов вместо людей. У нее диагностировали редкое заболевание, зафиксированное врачами около 80 раз за 100 лет.
Как сообщает Live Science, 52-летняя женщина рассказала, что когда она смотрела на людей, «они превращались в драконов». Она также видела, как перед ней спонтанно появлялись драконоподобные лица, даже когда людей не было.
По словам пациентки, лица людей поначалу казались нормальными, а потом «чернели, у них появлялись длинные заостренные уши и выступающая морда. На лицах появлялась рептилоидная кожа и огромные глаза ярко-желтого, зеленого, синего или красного цвета».
Женщина добавила, что испытывала эти галлюцинации с детства. Галлюцинации стали мешать ей так сильно, что она больше не могла нормально общаться и работать.
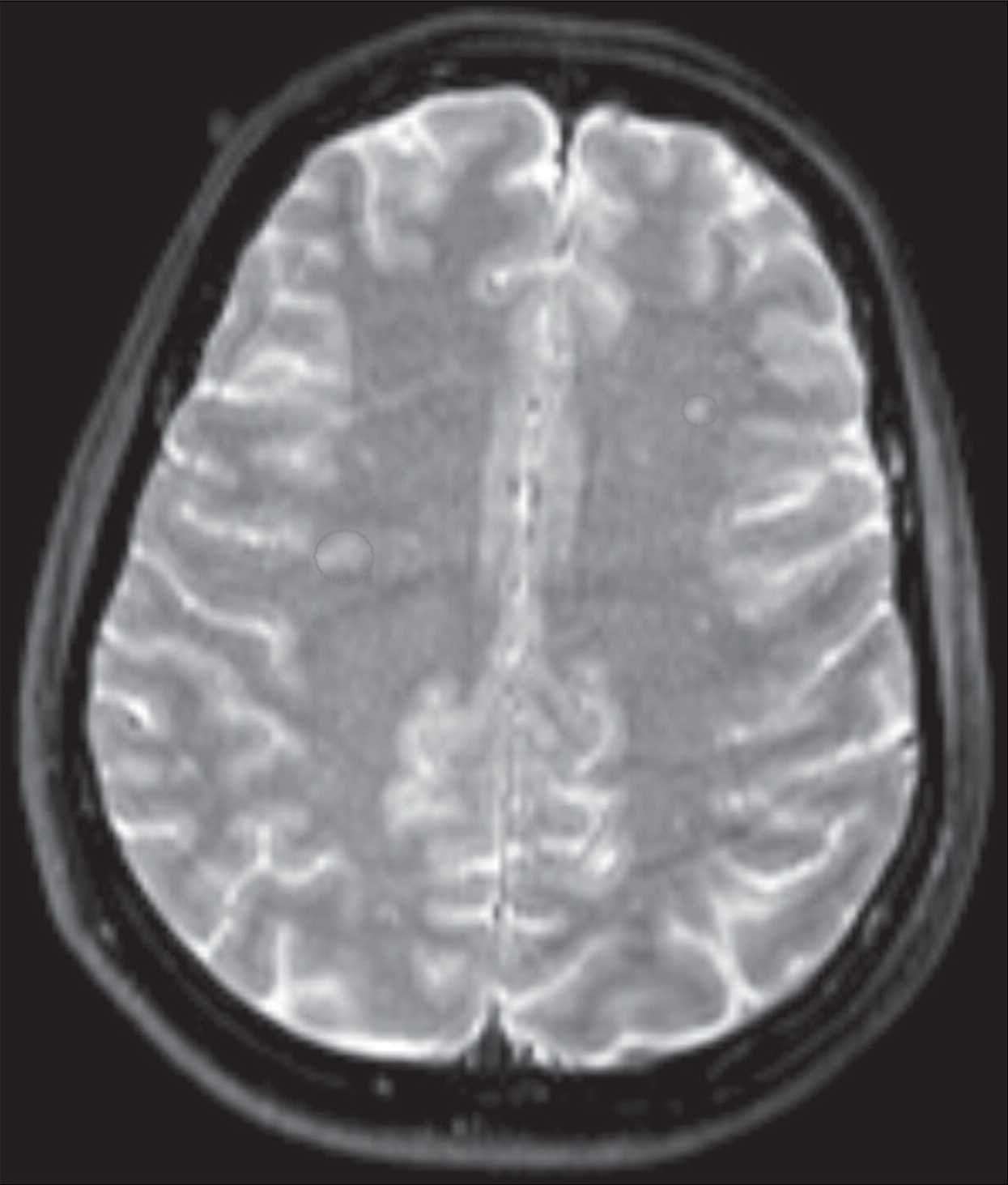
Врачи обследовали пациентку и провели ей электроэнцефалограмму. Результаты оказались нормальными, но магнитно-резонансная томография головного мозга показала несколько изменений в белом веществе вблизи чечевицеобразного ядра (lentiform nucleus) и в полуовальном центре (semioval centre). Эти поражения могли быть вызваны разрывами мелких кровеносных сосудов головного мозга. Согласно отчету врачей, ущерб был нанесен достаточно давно.

Хотя электроэнцефалограмма не выявила отклонений, врачи подозревали, что зрительные галлюцинации были вызваны аномальной электрофизиологической активностью в частях мозга, которые обрабатывают цвета и лица, в частности в вентральной затылочно-височной коре. Эта область, расположенная в задней части мозга, регулирует распознавание объектов. По мнению врачей, поражения мозга, выявленные с помощью магнитно-резонансной томографии, могли вызвать эту активность. Возможно, такое состояние было у нее с рождения. Его могло вызвать временное лишение кислорода незадолго до или после родов.
У пациентки диагностировали прозопометаморфопсию. Это состояние влияет на то, как люди воспринимают человеческие лица, в результате чего черты кажутся резко искаженными.
Женщине назначили лечение. В начале она избавилась от визуальных галлюцинаций, но во сне у нее появились галлюцинации в виде стукающих звуков. Тогда ее перевели на препарат, который обычно используется для лечения симптомов деменции, вызванной болезнью Альцгеймера или болезнью Паркинсона. Лечение уменьшило слуховые галлюцинации, а зрительные симптомы снизились до управляемого уровня. Через три года после начала лечения женщина сообщила, что продолжала работать на одном месте, а ее социальные отношения улучшились.
Прозопометаморфопсия встречается очень редко. По данным обзора 2011 года, за 100 лет было описано около 80 таких случаев. У большинства пациентов искажения длятся от нескольких дней до нескольких недель, но нидерландка жила с прозопометаморфопсией всю жизнь.
Автор: Елизавета Завьялова
