Отличается ли обработка речи у людей с афазией после инсульта по сравнению со здоровыми людьми такого же возраста? Да – люди после инсульта могут слышать все звуки так же хорошо, как и здоровые люди, но испытывают трудности с интерпретацией речи.
Понимание естественной речи предполагает, что в мозге непрерывный акустический сигнал быстро преобразовывается в слова. При инсульте часто наблюдается афазия – нарушение речи, возникающее из-за поражения речевых зон головного мозга, что приводит к частичной или полной утрате способности говорить, понимать речь, читать или писать. Исследователи продемонстрировали, что постинсультные трудности с речью могут объясняться изменением обработки фонетических сигналов.
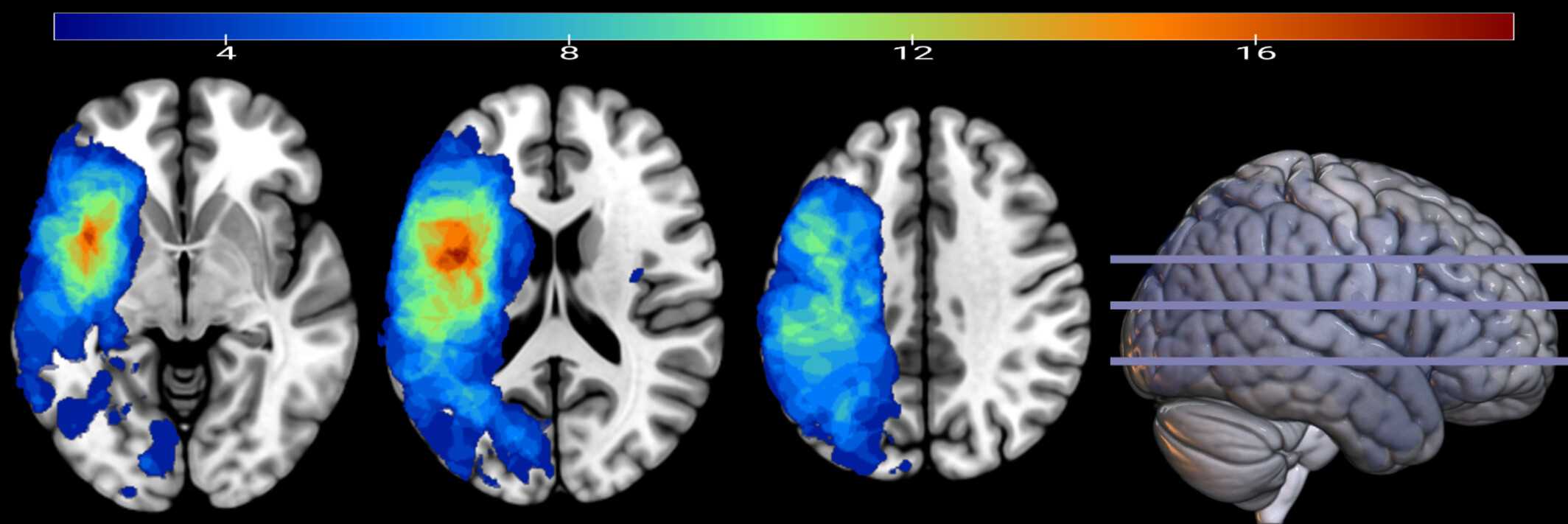
В исследовании участвовали 39 человек с афазией в хронической стадии инсульта и 24 здоровых участника, сопоставимых по возрасту. Все они слушали запись в течение 25 минут, а при обработке результатов учитывались способ произнесения, звонкость, округлость и локализация согласных и гласных звуков.

Сравнение динамики распознавания речи между двумя группами показало, что у людей с афазией фонетические признаки обрабатываются в мозге в течение более короткого времени, чем у контрольной группы. Предполагается, что при афазии трудности в анализе информации связаны не с тем, что речь не анализируется совсем, а с тем, что на обработку сигнала тратится меньше времени, и в результате не происходит полного распознавания всех фонетических признаков. То есть человек с афазией хуже обрабатывает речь, потому что мозг обрабатывает сигнал за меньший промежуток времени, чем у здорового человека.
Эта информация, во-первых, позволяет углубить понимание причин неврологического дефицита у постинсультных больных, а, во-вторых, попробовать им помочь с помощью различных методов, например, стимуляции. Работа опубликована в журнале Journal of Neuroscience.
Текст: Юлия Баимова
