Фотовольтаическое устройство в сетчатке глаза превращает свет в электрические импульсы, улучшая зрение больных с макулодистрофией.
Одна из самых частых причин слепоты у пожилых людей — это макулярная дегенерация сетчатки, или макулодистрофия. Макулой, или жёлтым пятном, называют овальную зону сетчатки с наибольшей остротой зрения, расположенную напротив зрачка. Благодаря рецепторам макулы мы можем читать, писать, водить машину, различать самые мелкие детали. И вот эти рецепторы, палочки и колбочки сетчатки, у некоторых людей старшего возраста начинают отмирать.
Предполагается, что дело тут в нарушениях обмена веществ и кровоснабжения. У макулярной дегенерации различают сухую форму и влажную. При сухой форме в жёлтом пятне появляются нерастворимые скопления продуктом метаболизма, клеточные обломки и прочий мусор, который со временем начинает вредить рецепторам. Влажная форма связана с тем, что кровеносные сосуды начинают без нужды активно расти по направлению к макуле. Как следствие, повышается уровень жидкости в тканях и начинается отслоение участков сетчатки, сопровождающееся гибелью рецепторов. Сухая форма макулодистрофии встречается у большинства больных и считается менее опасной, во многом потому, что дольше развивается. Многие считают их просто разными стадиями одного процесса (влажная почти всегда идёт вслед за сухой); так или иначе, зрение очень сильно ухудшается в обоих случаях.
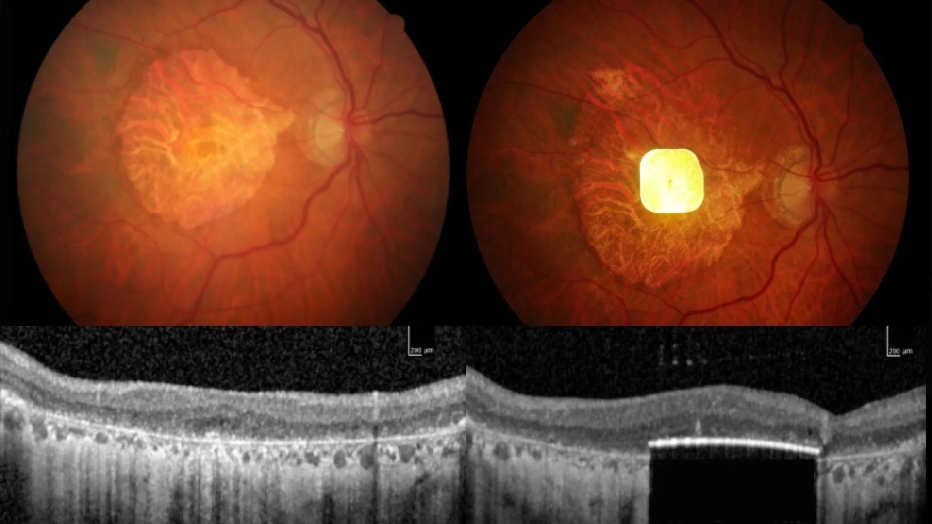
В недавней статье в The New England Journal of Medicine описаны результаты операции по пересадке больным с сухой макулодистрофией фотовольтаического имплантата в сетчатку глаза. Точнее, операций было много – в исследовании участвовало 38 человек, у которых макулодистрофия началась давно; занимались ими сотрудники нескольких научных центров Германии, Франции, Великобритании и США. При макулодистрофии отмирают только рецепторы, то есть остаётся возможность передавать оставшимся нервным клеткам электрические импульсы, которые по зрительному нерву отправятся в мозг.
Имплантат размером 2 мм на 2 мм и толщиной 20 микрометров превращает энергию свет в электрический ток, и этого тока хватает и для того, чтобы простимулировать нейроны, и для того, чтобы обслуживать само устройство, то есть менять батарейки ему не нужно. Правда, одного только имплантата мало, потому что для работы ему нужен инфракрасный свет. Так что нему ещё прилагаются специальные очки, которые превращают обычный свет в инфракрасный. Очки позволяют менять контрастность и яркость, есть у них и другие настройки, и после операции человек ещё несколько месяцев тренируется ими пользоваться, чтобы выбрать наиболее удобный режим.

Операции провели в прошлом году, и всё это время за добровольцами непрерывно наблюдали. Шестеро по разным причинам выпали из исследования, кто-то умер по независящим от операции обстоятельствам, кто-то перестал выходить на связь. Из оставшихся у двадцати шести зрение достоверно улучшилось – в обычном зрительном тесте с уменьшающимися рядами букв они стали различать на два ряда больше. Большинство снова смогли читать, по крайней мере, в домашней обстановке. Правда, нельзя сказать, что их зрение вернулось к прежнему состоянию – скорость чтения оставалось низкой, это было не обычное беглое чтение; участники исследования различали числа, буквы и слова, но соединять слова вместе требовало усилий. Кроме того, зрение было чёрно-белым, различать цвета имплантат не позволяет. Во многом это связано с количеством элементов в нём, которые переводят свет в электрические импульсы, так что тут остаётся надеяться, что конструкцию имплантата будут совершенствовать. Другой вопрос, как пишет портал Nature, состоит в том, насколько улучшение зрения было обусловлено собственно имплантатом, а насколько – усилиями самого человека, который тренировался пользоваться инфракрасными очками. Но в целом сами авторы работы признают, что это только первый шаг, демонстрирующий, что подобные имплантаты можно пересаживать человеку и что они будут у него работать.
Это не единственный подход, который испытывают в борьбе против дегенерации сетчатки. Довольно много исследований тут посвящено клеточной и генетической инженерии: в сетчатку можно пересадить здоровые рецепторы от кого-то другого, можно внедрить в нерецепторные клетки сетчатки ген, который превратит их в рецепторы, можно генетическим редактированием затормозить гибель собственных палочек и колбочек. В большинстве случаев эти способы изучают пока только на животных, хотя, к примеру, эксперименты со стволовыми клетками проводили на людях, и сравнительно успешно.
Автор: Кирилл Стасевич
